Pre Op Frontal View
Pre Op Frontal View
Pre Op Pocket Depth Probing
Pre Op Pocket Depth Probing
Ossous Defect Measurement
Ossous Defect Measurement
Sticky Bone Graft Placement
Sticky Bone Graft Placement
PRF Membrane Placement
PRF Membrane Placement
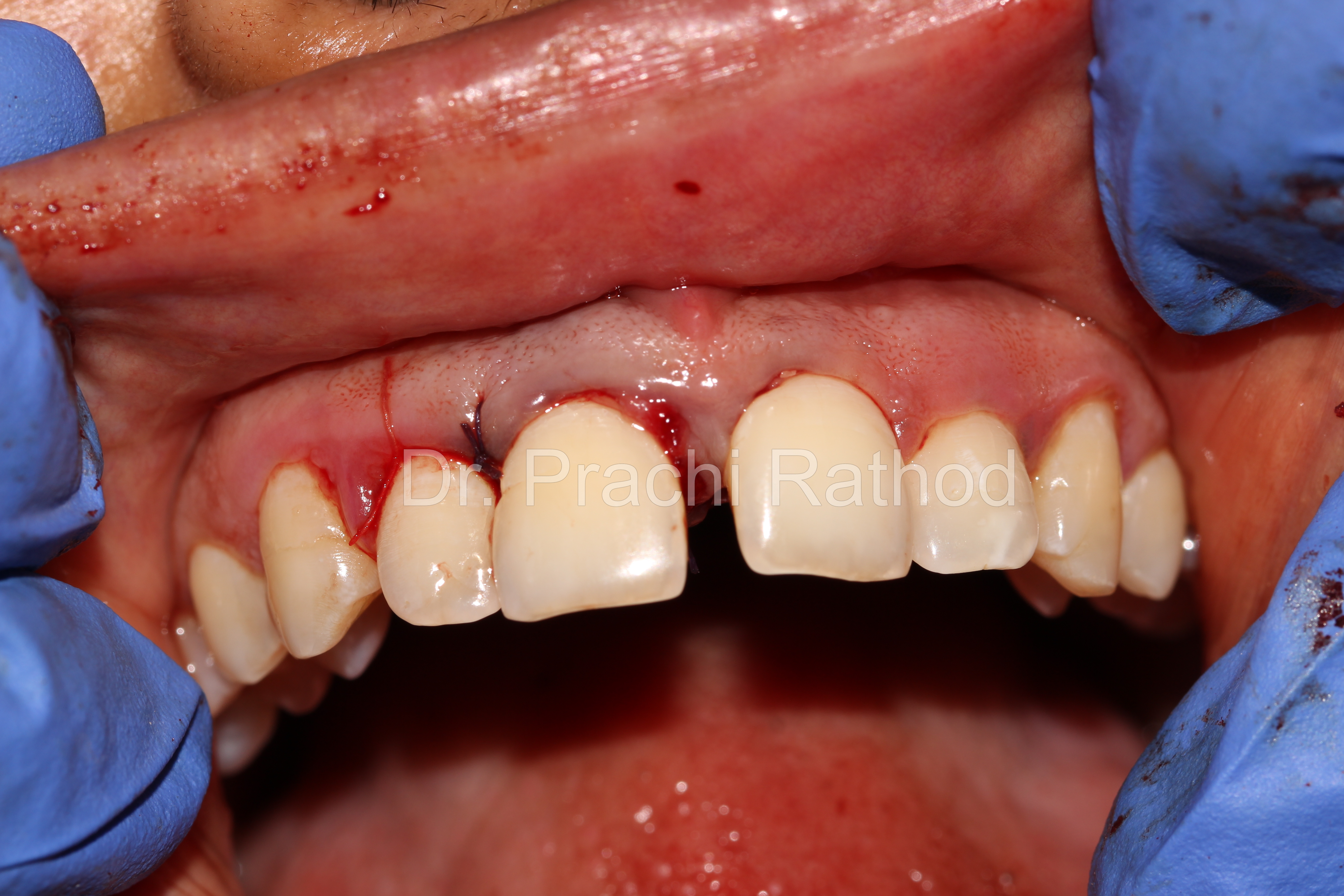
Suturing
Suturing
20-days Post Op
20-days Post Op
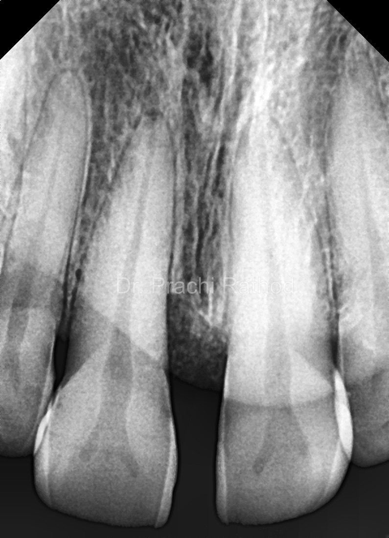
3 month Post Op RVG
3 month Post Op RVG

Bone Grafting